Publicaciones científicas de la Doctora Claudia Martínez

Sobre la autora: Dra. Claudia Lorena Martínez Higueros

La Dra. Martínez ha desarrollado una intensa actividad investigadora a lo largo de su carrera médica, con publicaciones en revistas científicas nacionales e internacionales especializadas. En esta página se recopilan sus principales contribuciones académicas.

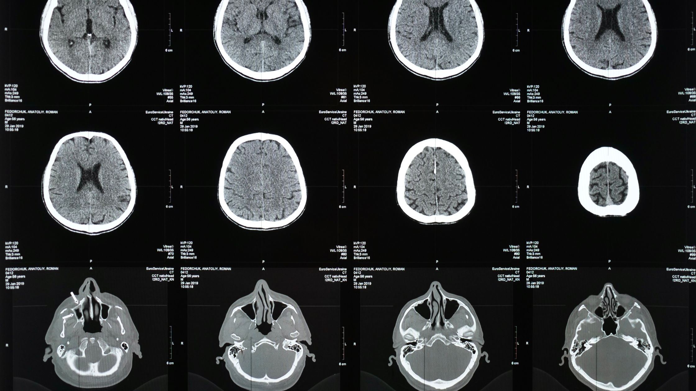
Infartos talámicos mediales bilaterales, un hallazgo típico debido a la oclusión de la arteria de Percheron

Aneurisma aórtico abdominal con fístula a la vena cava inferior

PRUEBAS DE IMAGEN EN EL DIAGNÓSTICO Y SEGUIMIENTO DEL MELANOMA CUTÁNEO

Objetivos Docentes
• Analizar la utilización de las pruebas de imagen en el abordaje del melanoma cutáneo.
• Recomendar un protocolo de pruebas de imagen en el diagnostico y seguimiento del melanoma cutaneo, siguiendo criterios internacionales.

Condiciones de eficiencia de los servicios de vacunación

Nódulos tiroideos. Experiencia en 386 pacientes

Objetivos Docentes
1. Exponer los resultados de nuestra serie de pacientes.
2. Revisar las indicaciones de PAAF.
3. Determinar la utilidad de la PAAF eco-dirigida.
4. Establecer puntos clave del informe radiológico así como un protocolo de manejo del nódulo tiroideo.

EL EJERCICIO FÍSICO Y LA SALUD MENTAL EN NIÑOS DE PRIMARIA

Detección Temprana de Trastornos de Salud Mental: Diseño, Validación y Confiabilidad del Cuestionario de Salud Mental en Atención Primaria para Niños de 6 a 12 años

Interpreta mi Corazón… Lo que el radiologo debe reconocer en el seguimiento por imagen de las cardiopatias congenitas

Objetivos
• Facilitar la interpretación de las imágenes aplicando el análisis segmentario en el diagnóstico y seguimiento de las cardiopatías congénitas.
• Comparar la aplicación de cada una de las técnicas de imagen avanzada en el seguimiento de las CC.

Doctora Claudia Martínez Higueros
Resumen de privacidad

Esta web utiliza cookies para que podamos ofrecerte la mejor experiencia de usuario posible. La información de las cookies se almacena en tu navegador y realiza funciones tales como reconocerte cuando vuelves a nuestra web o ayudar a nuestro equipo a comprender qué secciones de la web encuentras más interesantes y útiles.